NSJ Bioreagents
売れ筋製品のご紹介
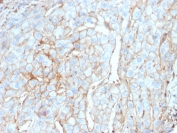
PD-L1抗体 / B7-H1 / CD274 [clone PDL1/2746] (V3955)


抗原存在下でCD28がリガンドのB7-1(CD80)/B7-2(CD86)と結合すると、共刺激を介してT細胞増殖分化能及びサイトカイン産生が促進されます。またこの際、T細胞のアポトーシス抑制に関わるBcl-x因子の発現も誘導されます。一方で、活性化T細胞の表面に発現するCTLA-4はCD28よりも強くB7-1/B7-2と結合し、T細胞の活性化及びIL-2産生を抑制する方向に作用します。
PD-L1はB7-1と20%、B7-2と15%類似した290残基のアミノ酸からなるⅠ型膜貫通タンパク質で、Ig可変領域と定常領域、30アミノ酸の細胞内領域を持ちます。PD-L1単体ではCD28やCTLA-4、ICOS (induced co-stimulator)と結合できず、反応のためには共刺激分子のIL-2が必要になります。PD-L2もPD-L1と同様に膜貫通タンパク質で、Ig可変領域と定常領域、30アミノ酸の細胞内領域を持つことが知られています。
心臓、肺および腎臓の実質細胞上にはPD-L1およびPD-L2が構成的に発現しています。今後PD-1/PD-L1系の機序がより解明されれば、シグナル伝達の一部を自己免疫疾患の予防に役立てることも可能になるでしょう。
製品詳細はデータシートにてご確認ください。
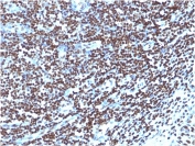
ヒストン抗体 / Histone H1 [clone 1415-1] (V2567)


ヒストンは真核生物のクロマチンを構成する塩基性及び水溶性の核タンパク質で、多くはヒストン八量体の状態で存在しています。ひとつのヒストン八量体は4種類のコアヒストン(H2A・H2B・H3・H4)により構成されており、H2A-H2B二量体とH3-H4二量体のペアがそれぞれ対称的に向かい合うような三次構造をとっています。ヒストン八量体に約146塩基対のDNAが左巻きに超らせん状に巻き付くことにより、クロマチン構造の最小単位であるヌクレオソームが形成されます。一方、ヒストンH1は80%以上のヌクレオソームにリンカーヒストンとして存在し、ヌクレオソーム内のDNAと結合することによりクロマチン構造を安定させる役割を持っています。
翻訳後修飾を受けやすいのは主にヒストンテールとよばれる鎖状のN末端側ですが、球状のC末端側も修飾を受けることがあります。これらの化学修飾にはメチル化、シトルリン化、アセチル化、リン酸化、ユビキチン化、SUMO化及びADPリボシル化が含まれます。
製品詳細はデータシートにてご確認ください。
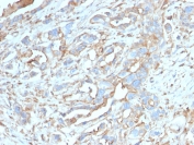
E-カドヘリン抗体 [clone CDH1/1525] (V3190)


カドヘリンはカルシウム依存性に細胞接着を媒介する分子であり、細胞組織の形態維持や形態形成において重要な役割を果たします。カドヘリンスーパーファミリーにおける古典的カドヘリンのE-、N-、P-カドヘリンは、N末端側の細胞外領域に細胞接着に関わる5つの繰り返し構造(EC1~EC5)を持ちます。C末端側の細胞内領域は比較的短めで、β-カテニンなどの細胞質に存在する種々のタンパク質と相互作用することでカドヘリンの機能を調節しています。
E-カドヘリンは特に上皮細胞の接着に関係し、その発現の低下はがんの転移や予後の悪化につながります(乳がん、前立腺がん、食道がんなど)。一方で、p-120カテニンと併用することで非浸潤性乳管がん(E-カドヘリン陽性)と上皮内小葉がん(E-カドヘリン陽性)の鑑別を行うことも可能です。また、悪性中皮腫の診断にも有用です。
製品詳細はデータシートにてご確認ください。
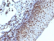
Ep-CAM 抗体 / 細胞質ドメイン [clone EGP40/1110] (V2686)


EGP40は40-43kDa のⅠ型膜貫通型糖タンパクであり、上皮特異的抗原(epithelial specific antigen; ESA)または上皮細胞接着分子(epithelial cellular adhesion molecule; Ep-CAM)とも呼ばれます。ほとんどの正常な単層上皮の基底膜及び側細胞膜表面上に発現している一方で、大半の癌腫にも発現します。
Ep-CAM抗体は腺がんを悪性胸膜中皮腫や肝細胞癌から鑑別する際に用いられます。また、卵巣における漿液性腺癌と上皮型中皮腫の鑑別にも有用です。
製品詳細はデータシートにてご確認ください。
EMA 抗体 / MUC1 / Mucin-1 [clone MUC1/845] (V2371)


EMA抗体はムチン-1(MUC1)または上皮膜抗原(EMA)など、複数のグリコフォームを持つ分子量265-400kDaのタンパク質を認識します。EMA抗体のαサブユニットは細胞接着部分を有し、接着タンパク質または抗接着タンパク質のどちらとしても機能します。
MUC/Mucin-1は細菌や酵素などの攻撃から上皮細胞を守る保護層を形成します。MUC/Mucin-1のβサブユニットはC末端を含み、リン酸化やタンパク質間相互作用などの細胞シグナル伝達に関与します。
免疫組織化学的解析において、MUC1/EMA抗体は通常のホルマリン固定・パラフィン包埋処理済み悪性腫瘍細胞を染色するのに優れます。MUC1抗体は骨髄または肝臓におけるがんの早期転移部位を検出するための上皮マーカーとして有用です。
製品詳細はデータシートにてご確認ください。
カテゴリー別 抗体一覧
- ABO
- Angiogenesis
- Apoptosis
- Apoptosis Marker
- Astrocyte
- Autophagy
- B-Cell
- Beta Cell
- Calcium Channel
- Cancer
- Cardiovascular
- Cell Biology
- Cell Cycle
- Cellular Marker & Epitope Tag
- Cytokine
- Dendritic Cell
- Developmental Biology
- Endoplasmic Reticulum
- Endosome
- Endosome Marker
- Endothelial
- Endothelial Cell
- Endothelial Cell Marker
- Epigenetics
- ER
- Erythrocyte
- Follicular Lymphoma
- Granuloctye
- Hairy Cell Leukemia
- Hepatocellular Carcinoma
- Hepatocyte
- Hepatocyte Marker
- Human Protein Microarray Validated
- Ig
- Immunology
- Innate Immunity
- Isotype Control
- Late Endosome Marker
- Leukocyte
- Loading Control
- Lymphocyte
- Macrophage
- Mantle Cell
- Melanoma
- Mesenchymal Cell
- Metabolism
- Microbiology
- Microglia
- Mitochondria
- Mitochondrial
- Monocyte
- Myeloid Cell
- Neuronal
- Neuronal Marker
- Neuroscience
- Neutrophil
- NF-kB
- NK Cell
- Nuclear
- Phospho
- Platelet
- Popular
- Proliferation
- Rabbit Monoclonal
- Recombinant
- Recombinant Mouse
- Renal Cell
- Signal Transduction
- Skeletal Muscle
- Smooth Muscle
- Stem Cell
- Stem Cell Marker
- T-Cell
- Thyroid
- TLR & Related
- Zinc Transporter
プロトコル
各商品の価格のお問合せ、商品仕様書のご依頼、その他のお問い合わせは下記までお願いします。
【商品取扱元】株式会社 東京未来スタイル
info@tokyofuturestyle.com
TEL:029-851-9222 FAX:029-851-9220